Scientists have identified a compound found in cruciferous vegetables that can wipe out over 90 per cent of the sticky film behind dental plaque, an advance that may lead to new kinds of toothpaste and mouthwash.
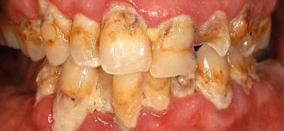
Dental caries is a global problem with over 60 per cent of school-aged children in low and middle-income countries estimated to have the health issue.
It arises as the community of microbes coating the tooth surface shifts to include more bacteria with characteristics of high acid production due to increased carbohydrate intake.
Among such bacteria, S mutans is the most prominent due to its durability in a high sugar and low pH environment.
Currently, toothpaste, mouthwash, and routine dental visits help, but researchers are on the lookout for better solutions from naturally derived compounds.

Researchers, including those from the National University of Singapore, have found that a compound called 3,3′-Diindolylmethane (DIM) – also known as bisindole – can cut down the biofilms behind plaque and cavities by 90 per cent.
DIM is a compound that is also naturally formed in the body when digesting cruciferous vegetables like broccoli, cabbage and kale.
The new study showed that DIM specifically targets the bacterium S. mutans, a key contributor to tooth decay, which thrives and forms sticky films in the warm, sugary conditions inside the mouth.
Scientists found that at even a very low concentration, DIM inhibited biofilm formation by 92 per cent, reduced bacterial production of the glue that sticks them to surfaces, and also decreased the biofilm’s durability.
Earlier studies have shown that DIM has anti-cancer properties with low toxicity toward normal cells, making it a potentially safe candidate for application in the mouth.
Previous research has shown that S mutans biofilms lead to plaque buildup, enamel erosion and dental cavities.
The latest study found that DIM, which is known to also have anti-cancer effects, drastically disrupts the biofilm by preventing the bacteria from multiplying.
While the results are far from establishing DIM as a practical dental treatment, scientists say the findings are encouraging.
“The molecule, which was found to have low toxicity, could be added to toothpastes and mouthwashes to greatly improve dental hygiene,” said Ariel Kushmaro, one of the authors of the study.
“The anti-biofilm and anti-virulence properties of DIM against S. mutans bacteria in an ‘oral setting’ provide evidence for its usefulness in reducing biofilm formation and potentially for caries attenuation,” scientists wrote.











