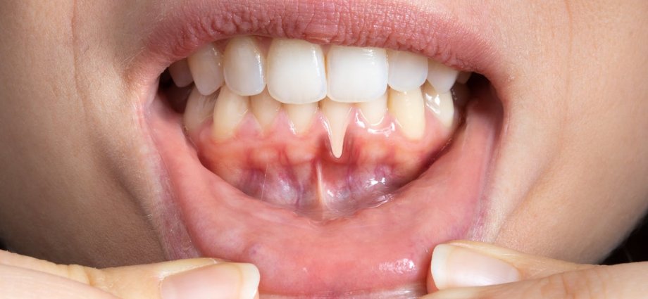
One of the most common concerns patients bring to the dental chair is receding gums. Often, the immediate assumption is: “I must have gum disease.” While this can be true, gum recession isn’t always a clear-cut sign of disease. In fact, many people don’t notice any problem until they begin to experience tooth sensitivity to cold, hot, or sweet foods – or they notice their smile changing, with more visible tooth surfaces or small gaps appearing between the teeth.
Dentists often respond to this concern with a quick fix: applying white composite fillings near the gum line. While this may help with sensitivity in the short term, it can make the problem worse over time by contributing to further gum recession.
Gum disease – also known as periodontitis – is a serious condition. Symptoms such as bleeding when brushing, drifting teeth, persistent bad breath, or tooth mobility should always be investigated. However, gum recession can have other causes, too.
Perhaps surprisingly, one of the biggest culprits behind receding gums is actually overzealous brushing. Using too much force or brushing with the wrong tools – like a hard-bristled toothbrush – can gradually wear away gum tissue. Electric toothbrushes can help by reducing pressure, especially newer models that light up when you brush too hard. But in reality, many people focus more on how long they brush than how they brush. Even the smart apps that pair with these toothbrushes usually highlight brushing time in each area, rather than pressure applied.
That’s why teaching proper brushing technique is so important. The best method will vary depending on a patient’s individual tooth and gum structure – and it should always aim to remove plaque effectively while using gentle, consistent pressure. If someone is doing well with a manual toothbrush and has a solid technique, there’s no reason to switch to an electric one.
Another growing cause of gum recession is cosmetic tooth straightening with clear aligners. While aligners are effective for aligning teeth quickly, they’re often paired with fixed retainers – wires bonded behind the teeth to hold them in place. Over time, this can cause the roots to drift outside the natural bone housing of the jaw, resulting in gum tissue shrinking away from the teeth.
Solutions
The good news is that there are solutions. Every case is unique, but with the right knowledge and techniques, dentists can help patients restore both gum health and appearance.
For cases where the gum tissue has receded significantly, there are several surgical options depending on the patient’s needs and goals.
For functional concerns, a technique called the free gingival graft is commonly used. This involves transplanting a thin layer of tissue – usually taken from the roof of the mouth (the palate) – to create a band of tough, pink gum around the base of the teeth. This helps patients brush comfortably without irritating the soft tissue of the gum. While this procedure can slightly reduce recession, the main goal is improving durability and comfort, not aesthetics. The graft is often visibly different in colour and texture.
For cosmetic concerns, more advanced “plastic surgery” techniques are available. One popular method involves carefully lifting the local gum tissue, inserting a tissue graft beneath it (again, typically taken from the palate), and stitching it in place. This “sandwich” approach thickens the gums and gives them a healthier appearance. The graft acts as a scaffold for the existing gum tissue to grow back over, improving both form and function.
These procedures are safe, effective and minimally invasive. They’re typically performed under local anaesthetic in a dental practice and require only a few days of recovery with over-the-counter pain relief. For anxious patients, conscious sedation can also be used – a technique where medications are used to relax a patient during a medical procedure, allowing them to remain awake and alert while feeling less nervous and potentially less aware of what’s happening.
Long-term studies show these techniques to be reliable, with a success rate of up to 93% and minimal relapse even five years after surgery.
The most important step in managing gum recession is a comprehensive patient assessment. While cosmetic concerns matter, the real priority is making sure gum disease isn’t being overlooked. Periodontitis is a silent and progressive condition, leading to chronic inflammation, bone loss and eventually tooth loss.
More importantly, research links periodontal disease to systemic health conditions such as diabetes, cardiovascular disease and even dementia. Protecting our gums isn’t just about maintaining a nice smile – it’s about safeguarding our overall health.
![]()
Flavio Pisani does not work for, consult, own shares in or receive funding from any company or organisation that would benefit from this article, and has disclosed no relevant affiliations beyond their academic appointment.











